Arenaviridae / Tales Of Mice And Men Natural History Of Arenaviruses : By the 1960s, several similar viruses had been discovered and they were classified into the new family arenaviridae.

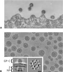
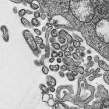
Arenaviridae / Tales Of Mice And Men Natural History Of Arenaviruses : By the 1960s, several similar viruses had been discovered and they were classified into the new family arenaviridae.. Until recently, members of the monogeneric family arenaviridae (arenaviruses) have been known to infect only muroid rodents and, in one case, possibly phyllostomid bats. The family arenaviridae is divided into three genera: By the 1960s, several similar viruses had been discovered and they were classified into the new family arenaviridae. Each virus is usually associated with a particular rodent host species in which it is maintained. An arenavirus is a bisegmented ambisense rna virus that is a member of the family arenaviridae.

By the 1960s, several similar viruses had been discovered and they were classified into the new family arenaviridae. A viral biorealm page on the family arenaviridae. An arenavirus is a bisegmented ambisense rna virus that is a member of the family arenaviridae. These viruses infect rodents and occasionally humans. Until recently, members of the monogeneric family arenaviridae (arenaviruses) have been known to infect only muroid rodents and, in one case, possibly phyllostomid bats.

Plos Pathogens Characterization Of Haartman Institute Snake Virus 1 Hisv 1 And Hisv Like Viruses The Representatives Of Genus Hartmanivirus Family Arenaviridae
Plos Pathogens Characterization Of Haartman Institute Snake Virus 1 Hisv 1 And Hisv Like Viruses The Representatives Of Genus Hartmanivirus Family Arenaviridae from journals.plos.org
These viruses infect rodents and occasionally humans. Until recently, members of the monogeneric family arenaviridae (arenaviruses) have been known to infect only muroid rodents and, in one case, possibly phyllostomid bats. Each virus is usually associated with a particular rodent host species in which it is maintained. By the 1960s, several similar viruses had been discovered and they were classified into the new family arenaviridae. The family arenaviridae is divided into three genera: A viral biorealm page on the family arenaviridae. An arenavirus is a bisegmented ambisense rna virus that is a member of the family arenaviridae.

The family arenaviridae is divided into three genera:

Each virus is usually associated with a particular rodent host species in which it is maintained. The family arenaviridae is divided into three genera: A viral biorealm page on the family arenaviridae. By the 1960s, several similar viruses had been discovered and they were classified into the new family arenaviridae. Until recently, members of the monogeneric family arenaviridae (arenaviruses) have been known to infect only muroid rodents and, in one case, possibly phyllostomid bats. These viruses infect rodents and occasionally humans. An arenavirus is a bisegmented ambisense rna virus that is a member of the family arenaviridae.

An arenavirus is a bisegmented ambisense rna virus that is a member of the family arenaviridae. A viral biorealm page on the family arenaviridae. The family arenaviridae is divided into three genera: Each virus is usually associated with a particular rodent host species in which it is maintained. These viruses infect rodents and occasionally humans.

Viral Hemorrhagic Fevers Vhfs Ppt Download
Viral Hemorrhagic Fevers Vhfs Ppt Download from slideplayer.com
The family arenaviridae is divided into three genera: Each virus is usually associated with a particular rodent host species in which it is maintained. These viruses infect rodents and occasionally humans. Until recently, members of the monogeneric family arenaviridae (arenaviruses) have been known to infect only muroid rodents and, in one case, possibly phyllostomid bats. An arenavirus is a bisegmented ambisense rna virus that is a member of the family arenaviridae. By the 1960s, several similar viruses had been discovered and they were classified into the new family arenaviridae. A viral biorealm page on the family arenaviridae.

A viral biorealm page on the family arenaviridae.

An arenavirus is a bisegmented ambisense rna virus that is a member of the family arenaviridae. Until recently, members of the monogeneric family arenaviridae (arenaviruses) have been known to infect only muroid rodents and, in one case, possibly phyllostomid bats. The family arenaviridae is divided into three genera: A viral biorealm page on the family arenaviridae. These viruses infect rodents and occasionally humans. Each virus is usually associated with a particular rodent host species in which it is maintained. By the 1960s, several similar viruses had been discovered and they were classified into the new family arenaviridae.

These viruses infect rodents and occasionally humans. The family arenaviridae is divided into three genera: A viral biorealm page on the family arenaviridae. By the 1960s, several similar viruses had been discovered and they were classified into the new family arenaviridae. Each virus is usually associated with a particular rodent host species in which it is maintained.

Arenaviridae Family Adapted From Salvato Et Al 8 Download Scientific Diagram
Arenaviridae Family Adapted From Salvato Et Al 8 Download Scientific Diagram from www.researchgate.net
These viruses infect rodents and occasionally humans. A viral biorealm page on the family arenaviridae. The family arenaviridae is divided into three genera: Until recently, members of the monogeneric family arenaviridae (arenaviruses) have been known to infect only muroid rodents and, in one case, possibly phyllostomid bats. An arenavirus is a bisegmented ambisense rna virus that is a member of the family arenaviridae. Each virus is usually associated with a particular rodent host species in which it is maintained. By the 1960s, several similar viruses had been discovered and they were classified into the new family arenaviridae.

The family arenaviridae is divided into three genera:

A viral biorealm page on the family arenaviridae. An arenavirus is a bisegmented ambisense rna virus that is a member of the family arenaviridae. Each virus is usually associated with a particular rodent host species in which it is maintained. By the 1960s, several similar viruses had been discovered and they were classified into the new family arenaviridae. These viruses infect rodents and occasionally humans. Until recently, members of the monogeneric family arenaviridae (arenaviruses) have been known to infect only muroid rodents and, in one case, possibly phyllostomid bats. The family arenaviridae is divided into three genera:

A viral biorealm page on the family arenaviridae arena. Each virus is usually associated with a particular rodent host species in which it is maintained.

Posting Komentar

Lebih baru Lebih lama

Facebook